
Options for improving or replacing dentures with implants
- The aim of treatment is to increase retention (the ability of the teeth not to move up and down) and stability (the ability of teeth not to move in function).
- We would like to improve your appearance by giving increased support to the lip and creating the correct “face height”. This will give increase visible lip support and reduce the depth of the creases at the corners of the mouth.
- We would like you to be proud of your teeth – ideally to reduce the need to take them out e.g if you have a hospital stay.
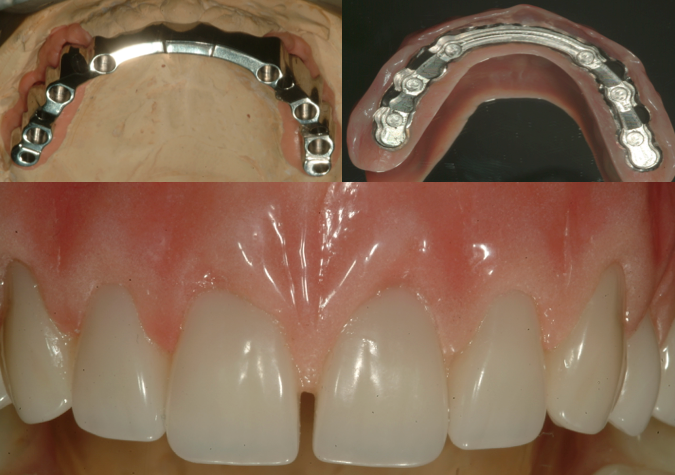
Plan A New dentures and two implants in the front of the lower jaw with “locator” (snap fastener) attachments. The denture also has two receiving attachments.
Plan B New dentures and four implants with “ankylos” (thimble) attachments. The denture also has four receiving thimbles. The lower denture has to made with a chrome cobalt framework (the metal will not be seen but gives strength to the denture). The denture is still removable but would be more secure with greater stability (less movement).
Plan C New dentures and four implants and “bar” attachments. The denture has a precision custom made slot for the titanium bar to fit into. Again the lower denture has to made with a chrome cobalt framework (the metal will not be seen but gives strength to the denture). The denture is still removable but would be yet again more secure with increased stability (less movement).
Plan D Fixed bridge that cannot be removed by yourself (the dentist can do so if required to adjust or inspect the implants).
Certainly one advantage of the removable solution is that you can remove it to clean the teeth. The main advantage of the fixed solution is that it is fixed! You will have to clean the inside, the outside and we will show you have to do this simply with electric toothbrush and special “under-bar” cleaning brush.
I would emphasis that with all of the implant techniques we would encourage you to attend for an annual check, and if required a hygienist visit to maintain around the implants every four or six months to remove any accumulating bacteria and keep the gums and bone around the implants healthy.





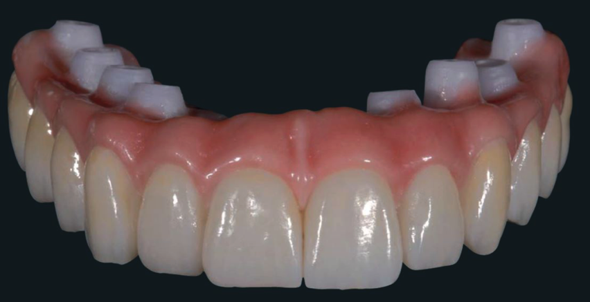
Sinus graft upper implant bridge
To provide an implant supported bridge for the top teeth when there is insufficient bone for implants, first we need to “grow” more bone. In the first image we have outlined the position and height of the proposed dental implants. There is insufficient bone to place these, so we first have to build the bone with a “sinus graft”.

To place the sinus graft we make small incisions in the gum and there is a thin membrane in the sinus that is lifted gently. A granular bone “scaffolding” is then placed. This surgical procedure is completed under sedation. Six months later the graft has converted to your bone (see image below).

The bridge is removable. This solution will easily provide lip support to improve appearance where significant bone loss has adversely affected appearance. This makes cleaning the implants and bridges very easy. Once a day the bridge can be removed and the implants. The bridge can be easily amended, adjusted and repaired. The bridge can be made with acrylic or porcelain to suit your budget and aesthetic demands.

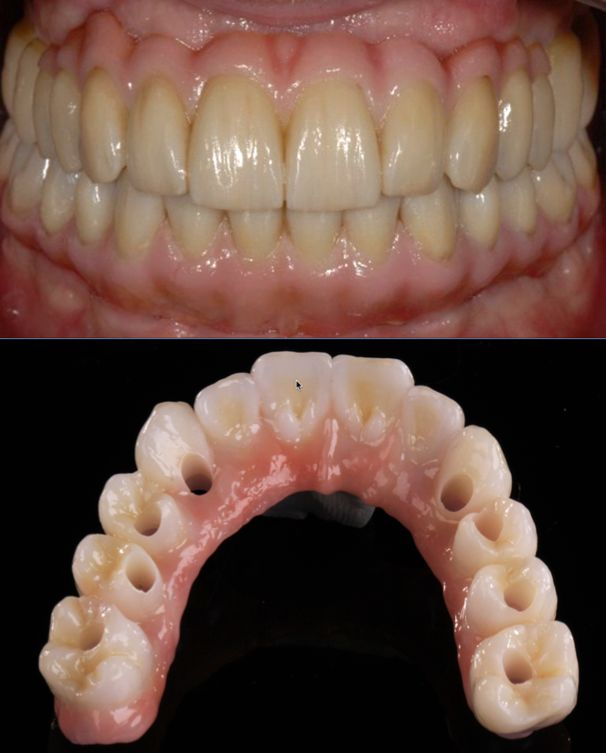
Fixed implant supported zirconium bridge
Often a fixed bridge is placed on four implants; this is often called an “All on Four”. In practice we would recommend that six implants will provide a better platform than four implants.
The advantages of six implants
- With six implants, each implant will bear less load
- The balance of weight distribution is improved
If at a later date you were to have a problem with a six implant supported bridge (which would be less likely than with a four implant bridge), you will still have five implants which is adequate support to continue. If you have a four unit bridge and lost one implant, the remaining three would be insufficient to carry the load and the bridge would fail.


< Back to News
