
Exposure time for digital dental radiographs is minimal, with exposure time about 80% less when compared to traditional radiographs. With Digital imaging we can also store and retrieve valuable diagnostic information over a long period of time without deterioration. The advantages of digital imaging enables us to not only store patient images, but also to quickly transfer them to appropriate specialists or insurance companies.
Digital X-rays
Digital X-rays offer more precision as we view the image on a computer monitor, instead of holding up a 35mm film to the light. Simply speaking we can view the images in greater magnification and alter the filters we use to allow better understanding.
Periapical or Bitewing X-rays
Full mouth X-rays with small films will give detailed analysis of your individual teeth and gums. This allows us to analyse your current restorations, any developing pathologies and the bone levels around your teeth.
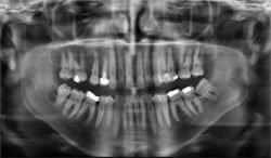
Digital Imaging Galway – OrthoPantoGram
OrthoPantoGram is a Digital OPG – a two dimensional image which gives an excellent overview of the teeth, the supporting bone and areas of bone loss, the presence of any root canal treatments, and many pathologies which might need further investigation.
We may take this X-ray initially to give an overview of your dentition and structures of the jaws to assess which areas may need investigation.

