
Discoloured Teeth
There is a perception that whiter teeth are healthy teeth. This is not always so but even if you have healthy teeth you can consider many ways with modern dentistry to lighten them with bleaching and veneers. However below I have outlined some of the more common causes of discoloured teeth.
Bleaching
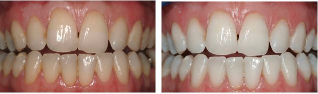
Home Bleaching and “Office Bleaching” (sometimes called Laser Bleaching, Britesmile, Zoom whitening) can change the colour of the enamel and be very effective and simple. Which is appropriate for you is best determined with a free consultation.
Commercial over the counter whitening systems from the chemist, use a “less than 2% active gel” compared to the 15 % carbamide peroxide used in the professional systems.
Professional Bleaching will ALWAYS work better and more efficiently.

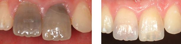
Trauma. A knock to your teeth can kill the nerve and as the tooth dies, the nerve becomes darker and stains the teeth. Your dentist can advice you if root canal therapy is possible to keep the tooth and either internal bleaching or a crown will rectify the colour.

Age. With time the outer layer of enamel of your teeth gets worn thinner and the dentine becomes thicker. The dentine is darker and the reflected: absorbed light balance changes.
Surface Stains. Microscopic cracks in the enamel will pick up stains from the tannins in tea, coffee, smoking and intake of red wines etc. Any “chromogenic” bacteria or plaque on the teeth will intensify these discolourations. A regular visit to the hygienist and an ultrasonic professional scale and polish with a paste or even better an “air-polish” with a sodium bicarbonate powder water mix will restore the teeth to their natural colour.
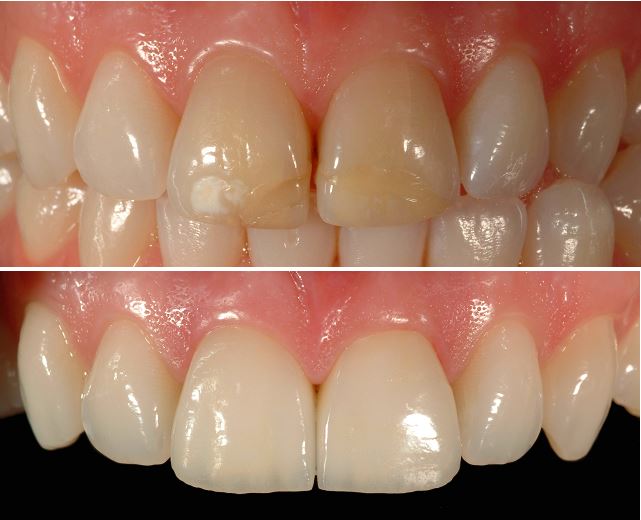
Tooth Decay. Whether a new cavity or a leaking filling, both will alter the colour. Sometimes simple placement of a small filling or replacement of the failing filling will fix this nicely preserving the tooth and restoring the colour. New composite fillings on front teeth bond the tooth structure together and early intervention will avoid root canal treatment or extraction.
Mouthwashes. Some mouthwashes will contribute to staining of bacteria and discolour some of the materials used for fillings in particular. Ask your dentists advise finding the best mouthwash for you.
Filling Materials. Amalgam fillings can restore teeth mechanically but with time the margins can leak and the ingressing bacteria will darken the tooth further.
Replacement of the metal filling with a white filling will obviously improve matters. There are two “families” of white fillings. The “composites” are a past, which can vary in quality and physical properties. Simple to place this is often the answer, especially for smaller fillings and front teeth. Improvements in composite technology nowadays minimise the long-term problems with surface wear and deterioration.

The larger restorations may be better with one of the newer porcelains. These can give better surface texture and natural reflectivity. Especially suited for large back teeth, which bear greater wear and load. Porcelain “Inlays” have been shown to have a success rate of 95% over 20 years.
Crowns and Veneers. A thin porcelain veneer can be bonded onto the front of the tooth, or a 360 degree veneer (or crown) can be used to cover marked discolourations, incorporate and replace large fillings. They can also correct the shape of teeth to correct gaps, worn teeth and improve the smile line.

If you have concerns about discoloured teeth or the appearance of your smile. Don’t be afraid to enquire, we offer a free consultation for new enquiries.
Follow us on Facebook for more tips and offers!
< Back to News
